O que é o Clareamento Dental?
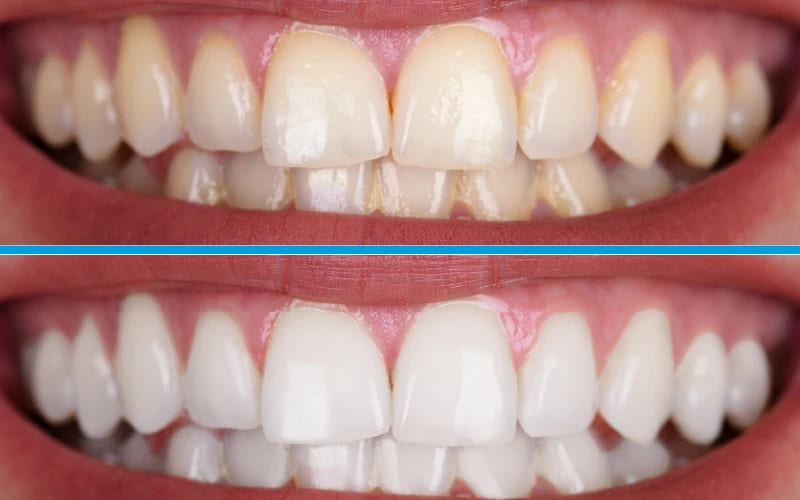
O clareamento dental é um dos tratamentos estéticos mais procurados da odontologia moderna. Ele tem como objetivo clarear a cor dos dentes, removendo manchas e pigmentações causadas por fatores como alimentação, bebidas, fumo e até mesmo pelo envelhecimento natural.
Com técnicas seguras e eficazes, o clareamento proporciona um sorriso mais branco e iluminado, aumentando a autoconfiança e melhorando a estética facial como um todo.
Como funciona o Clareamento Dental?
Existem diferentes técnicas de clareamento, que podem ser realizadas no consultório ou em casa, sempre com acompanhamento do dentista:
- Clareamento a laser ou em consultório: aplicação de um gel clareador ativado por luz especial, proporcionando resultados rápidos e visíveis em poucas sessões.
- Clareamento caseiro supervisionado: uso de moldeiras personalizadas e gel clareador, aplicados pelo próprio paciente em casa, seguindo as orientações do dentista.
- Tratamentos combinados: união das duas técnicas para resultados mais duradouros e eficazes.
Benefícios do Clareamento Dental
- Deixa os dentes mais brancos e brilhantes.
- Melhora a estética e harmonia do sorriso.
- Aumenta a autoestima e confiança pessoal.
- Procedimento seguro e minimamente invasivo.
- Resultados rápidos e duradouros com acompanhamento profissional.
Quem pode fazer Clareamento Dental?
Indicado para adultos que desejam clarear dentes escurecidos ou amarelados.
Pacientes que não possuem cáries ativas, inflamações gengivais ou restaurações mal adaptadas.
Pessoas que desejam um sorriso mais estético sem necessidade de tratamentos complexos.
O procedimento deve ser evitado por gestantes, lactantes e pessoas com hipersensibilidade dentária severa, salvo orientação profissional.
Quanto custa o Clareamento Dental?
O valor varia conforme a técnica escolhida:
- Em consultório (a laser): costuma ter preço mais alto, mas resultados rápidos.
- Caseiro supervisionado: opção mais acessível, com clareamento gradual.
- Combinado: investimento intermediário, com resultados ainda mais satisfatórios.
O importante é que o clareamento seja sempre feito com acompanhamento de um dentista, garantindo segurança, saúde e naturalidade no resultado.
Conclusão
O clareamento dental é a escolha perfeita para quem deseja conquistar um sorriso mais branco e saudável. Com técnicas modernas e seguras, é possível alcançar resultados transformadores de forma rápida e duradoura.







